• I Woke Up Today

    It’s been a peaceful weekend. I’ve had to field fewer phone calls since many medical offices are closed. I had to spend a few hours with family on Thanksgiving, but other than that I’ve mostly been able to rest. Symptom rundown:

    The start of my treatment has gone well. The visual symptoms that kicked into high gear when I switched to Eliquis for anticoagulation just over a week ago have finally petered out. That includes:

    • migraine aura – A shimmery dot in the center of my vision that expands over a half hour into a circle until it has finally expanded out of my field of vision. I first experienced this in the Spring before I was diagnosed with cancer.
    • a grey or lavender blur in either my left or right eye – I first had these after brain surgery last year and I have never figured out what it is, but I can’t imagine it’s something good
    • shooting stars or worms – Well, I still have these, but they’re infrequent now

    Don’t tell my team this, but on Wednesday evening after my first day of treatment I also had double vision for 7 minutes. You can’t tell them because they could stop treatment. It’s a stroke symptom. We all know it’s caused by the cancer. That’s what doctors have said for my previous issues. But once you’re on treatment, sometimes people will blame the treatment instead. Even if the treatment is the only thing that can beat back the cancer that is causing this crap. So, I’m just keeping that bit quiet for now.

    The day after I started treatment, i.e. Thanksgiving, I ate a tortilla chip. I’ve done this many times before, but this time afterwards it felt slightly sore near the tip of my tongue and the roof of my mouth right above it. The roof of my mouth felt better the next day, but the funny feeling on my tongue is still there into the fourth day now. Maybe some of the salt water mouthwash that people talk about will help. I always heard about the possibility of mouth sores with chemo, but on the tip of my tongue? Why do all my symptoms have to be so weird?

    I had a vague whiff of nausea on Thanksgiving day but nothing that stopped me from eating a full plate of food and dessert.

    The tinnitus already kicked up a few notches from the switch to Eliquis in the week before starting treatment, so I’m not sure if there’s been more from the treatment also. Probably. But either way it’s still manageable. If I had decided on the cisplatin / gemcitabine / avastin combo recommended by Big Cancer Center, I’d be suffering now for sure. (Of course, on Friday my husband was asking me “Do you hear that high pitched noise in the kitchen?” He knows I can’t hear a lot of high pitched noises anymore, but I guess he forgets. Arghh!)

    I have recurrent headaches since switching to Eliquis also, but they’re pretty mild.

    The main thing that has kept me worried is that Friday I got a notice on my fitness tracker that my heart rate had dropped below 50 during the past ten minutes. This is the same notice that scared the crap out of my last year when I was on corticosteroids. At that time I had just fallen asleep when my watch woke me up, and I was too terrified to go back to sleep for hours, fearing that I would never wake up. You know the end story for that one. I did wake up!

    My watched buzzed at me twice on Friday and then twice on Saturday. Somehow it hasn’t buzzed at me overnight yet. I need to make it just one more day to get to my oncology appointment. I just need to wake up tomorrow. I’m not dead yet. Things can still turn out okay.

  • The Day Before Starting Treatment

    In good times, I’ve been able to go months without answering the phone. That’s no longer an option with active cancer. So many appointments to schedule, and they’re mostly by callback. The pharmacies call me. The insurance company nurses call me. Today I’ve answered five calls. Five too many!

    One of today’s calls asked me to confirm my date of birth before they would tell me why they were calling. I enunciated as best I could, but the AI understood me horribly both times before passing me off to a human who started by asking “Why are you calling today?” Ugh!

    In worse news, last week I had a brain MRI that showed new infarcts that I wasn’t even expecting. This means two things. First, my anti-platelet medicines were no longer effective enough to prevent stroke events. Secondly, I’m already too messed up to notice when blood supply to a part of my brain is cut off. I feel a little bit off all the time.

    In the end, though, I’m now on Eliquis to hopefully prevent future stroke events. Just in time as I start treatment tomorrow. I have to take my first Lenvima pills in the morning and then head to the hospital for my Keytruda infusion. Then for four days my oncology team has a long weekend. Please, please let me avoid any urgent effects this weekend!

    This treatment can take a couple of months before it shows effect. Fortunately, my ca-125 is a good marker so I may see some effect before I get my next scan. It’s already at about 800–a number that terrifies me more than the treatment. To me, every point increase in my ca-125 is an extra bit of clotting factors released into my blood stream for potential strokes. I know it’s not that direct but, well, it’s close enough for me anyhow.

    Wish me luck for tomorrow!

  • Tired of Waiting

    On Monday I had chemo class, and my Lenvima arrived in the mail. Can I start taking it yet? Nope. I have to wait until I get the Keytruda infusion scheduled, and insurance hasn’t approved that yet. They had better approve it soon. Is it normal to keep people with advanced cancer waiting? My understanding of this treatment is that it usually takes a couple of months before it starts actively kicking in. It’s already been two months since my biopsy came back positive. Sometimes I feel fime, sometimes I feel a bit of pain in my midsection, and sometimes I panic that I’ll be incapacitated by a stroke any day now. Some folks would say that panic doesn’t help, so I make sure to just panic a tiny bit only.

  • Scary Words

    Impression

    1. Increased multiple parenchymal hepatic metastases.

    2. Increased supracolic and infracolic peritoneal carcinomatosis

    3. Stable abdominal and pelvic metastatic lymphadenopathy.

    4. New mild left hydronephroureter secondary to involvement of distal left ureter by pelvic carcinomatosis.

    This morning I finally got the results of my CT scan at Big Cancer Center. But tell me, what’s scarier? The words in the report or the fact that I actually understand what all those words mean? (Ok, ok, I did have to look up “hydronephroureter”, but I’m sadly familiar with the rest.)

    I tried talking to some folks who shared encouragement like “You’re stronger than you know.” and “You’re tough. You can get through this.”

    I’m not sure if they expect me to respond “I can do this! And today is a good day!” I try to smile.

    Fortunately, I have a quiet place where I can be alone and cry a bit without any encouragement.

  • My First Triple Contrast

    Publish Tuesday evening

    tl;dr – I got a CT scan at Big Cancer Center, and it was a lot more of a nuisance than prior scans. I can only hope it’s worth it.

    Background

    I set aside this full week for visiting Big Cancer Center to get a second opinion on treatment for my recurrence. I already met my assigned oncologist on Monday and went to get some bloodwork, which was amazingly efficient.

    For day 2 of my visit, I had an early CT scan. Time to see more efficiency in action! Up until now CT scans haven’t shown my liver metastases very well. But the oncologist had assured me they do CTs differently at Big Cancer Center. In the past, most of my CTs have been performed with contrast only injected into me via IV. I’ve also had a couple of scans while in the hospital where I had to drink two bottles of contrast fluid. However, Big Cancer Center uses triple contrast. This final contrast would be rectal (i.e. up the bum). To me this seems like a lot of poison to take in, but the doctor assured me that in my case it was worth it.

    The Prep

    I reviewed the instructions multiple times on Monday to plan out how to comply.

    First, I made sure to get up at 5 a.m. to eat a light breakfast while eating was still allowed. Then at 5:20am I started on my first bottle of water. Instructions were to chug two bottles (1000 mL) two hours before check-in. Gatorade was also in the acceptable beverages list, so I had a bottle of that on hand as well to sip for extra sustenance until my appointment.

    I re-checked the instructions online and found there was yet another form added overnight. Got that taken care of online so I wouldn’t have to do it when I got there.

    I arrived within two minutes of my scheduled time of 7:20am so I wouldn’t have to sit around waiting. They gave me a new hospital wristband for the day and, a short time later, a giant cup of the oral contrast. “Would you like water, Sprite, or Crystal Light?” I of course went with room-temperature water. I’d probably feel sick if I drank a jug full of Sprite, and Crystal Light wouldn’t be much better. I’m lucky, though. Some people are really sensitive to the taste of the contrast itself. I’m fine as long as they don’t decide to add any cilantro.

    While sipping my drink, I tried to distract myself by looking around the room at posters for washing hands and recommending downloading an app to be able to find where you’re going in the hospital. I discovered right behind me a big board with people’s initials and the time they were scheduled to go into the CT. This is how I discovered that the total process time of 1-2 hours which was mentioned in the instructions was a lie. 9:20 a.m. meant two hours before I would even go into the machine. I kept sipping.

    Fortunately, someone came in to sit down beside me and was willing to chat a bit. He had colon cancer, which is also a candidate for triple contrast (anything in the pelvic region), so I asked about it. He warned that it feels cold when it goes in. Good to know.

    I had finished my drink. My butt was getting really tired of sitting there. And of course, my special type of scanxiety is the kind that eases up when I’m through with the scan. So it was a huge relief when I was finally called back. They had pants and shirts to change into and those horrible socks that are awkward to walk in. (This set of socks was about the right size for my feet, but they stuck to the floor a bit.) The pants were too long and had to be tucked into my socks, making me look like a goofball. But that’s easy enough.

    Next up was getting the IV. I recently asked a nurse, “Are there people who never have problems getting an IV?” Apparently there are many. But not me and not today. “There appears to be a valve there. We’ll have to try somewhere else.” and “Sorry to tell you this, but this one isn’t going to work either.” I was walked down a super long hallway to another area where someone else successfully got the IV in. Just in time for my 9:20 scan time.

    The Scan

    They must have been behind schedule because I had to wait a bit more before I was finally taken back. I climbed onto the scanning bed and pulled down my pants enough for the tiny tube to be inserted into my rectum. Fortunately not at all as awkward as I anticipated, and I was ready when I felt the cold liquid inside me. After I laid on my back for a bit, I had this strange sensation like tiny bubbles rising up towards my belly button. Surely that meant it had infiltrated my innards as needed.

    The CT machine whirled around me and the table slid in and out a couple of times before the IV contrast was injected into me. I hate the feeling of this poison running through my veins. It always makes me feel slightly nauseated and warm. And of course there’s that feeling like you’re peeing. This time it was even warmer than usual. Or hot, really. “The sensation will go away in a moment”, I repeated in my head trying to calm my nerves.

    As the scanning bed went through that time, I felt a slight tickle in my throat just as I was prompted to hold my breath. Let me tell you, holding your breath when you’re fighting an urge to cough isn’t easy. It just made the urge grow. Finally, the machine said “Breathe normally” and allowed the opportunity for a tepid cough. The technician came in to check on me and agreed to bring me some water, though I wasn’t allowed to move my lower body still.

    The CT machine started whirring more loudly again, and I laid back down eager to be done with whatever was still needed. This truly was nothing like the super quick CT scans I was used to. “They had better get some really good pictures from this,” was all I could think.

    Recovery

    Apparently, if you cough, it’s an indication that you are unable to walk. The tech escorted me down the hall with his hand on my back. Then someone else took over and grasped me by the arm. I hobbled around awkwardly in the sticky socks, resisting the urge to push these touchy people away from me.

    Multiple people asked me about the tickle in my throat and the urge to cough. Apparently, this can be a reaction to the IV contrast. Was I having trouble breathing? Did my throat feel tight? etc, etc.

    Eventually they left me alone on a chair between some curtains, saying that I could leave in 15 minutes. I finished the bottle of water and was starting to get cold but wasn’t sure if I was allowed to go over to the desk to ask for anything. I just waited. At some point the nurse came over to check again that I wasn’t actually dying. I wasn’t. I was cleared to change into my clothes and go home.

    Once again I was escorted down the hallway. When I was directed to exit into the imaging center lobby, I pointed out that my IV hadn’t been removed yet. I probably should have guessed that the IV needed to be taken out in that curtained area, but my confidence had been wiped out. Anyhow, I was taken back over, got the IV out, and was finally headed back to the hotel a little over three hours after my appointment start time. Too late to satisfy my plan to grab a hot breakfast at the hospital cafeteria. Good thing I had plenty of snacks at the hotel.

    Patient Portal

    Back at the hotel, I checked the patient portal repeatedly to see if my scan results would show up. After seeing how quickly the blood test results came back, I was happily looking forward to getting my CT scan results in record time.

    I’m not so stupid as to just keep checking forever, though. A web search found the information that CT results don’t show up until two days after the report is finalized. That’s better than the three day wait at my usual place, but still, Ugh.

    Good thing I checked the portal, though. I found a visit summary that included:

    “Patient expressed understanding that if she continues to have reactions from IV contrast that she will need premedication prior to her scans. She acknowledged understanding and was in agreement with this plan. All questions were answered.”

    Wow. It’s a good thing I read that. I was wondering if they did consider it a reaction or not. Now I know that they already told me about it when I wasn’t listening, and I agreed to a plan to it when I wasn’t speaking. This is not something new. I’ve frequently seen lies inserted into charts so they can be used as “proof ” to cover their asses. But somehow I expected more from Big Cancer Center.

    Well, all to do now is to wait and see if the results make it all worth while.

  • Double Vision

    Monday was a busy day, so in the afternoon I was just sitting in bed reading something on my laptop. Then all of a sudden everything went blurry. A moment later, my vision started to make sense, but there were two of everything–one on top of the other. Double vision.

    As soon as I was able to see my watch, I noted the time at 3:52 pm. The blurriness had started a minute earlier.

    Since this could be associated with a stroke, I took a moment to remember the “FAST” phases — Face, Arms, Speech, and Time.

    I started with Arms first as part of the process to get to a mirror and check my Face. I lifted my arms in front of me and held them there for a couple of seconds. Check. I lifted my left leg and held it up for a second. Check. I lifted my right leg and held it up for a second. Check. I swung my feet off the bed and didn’t feel any weakness standing up. I did feel vaguely less balanced but not enough that I didn’t feel safe moving around. Not sure if it was just due to my vision being off. I checked out my eyes in the bathroom. Face looked normal. Symmetrical. My pupils looked the same, other than the fact that there were four of them. Check.

    But damn, something was wrong with me. The double vision was still there. I had no choice but to commence with the Speech check. I finally went in the next room to find my husband. “Do I look okay?” He knew immediately I wasn’t there just for a compliment. I was able to successfully explain my situation with the double vision. Check.

    Having passed all the checks, I decided to call the neurologist office, but they weren’t answering the phone. By the time 10 minutes waiting had elapsed, though, I had grabbed my pre-packed hospital bag and my husband and I were ready to go to the hospital to get checked out. My vision seemed to be improving, and I had second thoughts about having to go to the emergency room. Honestly, if I wasn’t trying to plan cancer treatment, I would have tried to get out of going to the hospital still. My husband would have been put in the role of making sure I went. My vision normalized at 4:09 pm. We didn’t call 9-1-1. I didn’t have to get in an ambulance. But we did get in a car and headed to the ER.

    In retrospect, I should have been thinking “BE FAST” where I would have failed two of the checks.

    At the hospital, CT scans showed nothing of interest. A couple of blood tests came back abnormal, though, and I was to be admitted to the hospital for more testing and an overnight stay.

    In the end, an MRA (not a typo–it stands for Magnetic Resonance Angiography and didn’t look at the brain itself but at the blood vessels in the area) report showed “Several 3 mm focus of restricted diffusion within the right cerebellar hemisphere that is suspicious for an acute infarct.” In other words, it was a stroke.

    Some of the earlier provider reports said I had a “flat affect”, meaning I was very cool about things and not emotional. But thinking about the blockages in my brain was as good a time as any to cry. I need to schedule many more medical appointments. I have this huge thing that will impact my options for cancer treatment. I let out some tears during my visit, but many more have accrued.

    I don’t really want to deal with anything new. But the fact is, this is not new. I had double vision last year in September. If I had gone to the ER then, maybe this would have been dealt with earlier. But instead I didn’t get that exact test. I got a normal MRI that showed a 5cm meningioma in my brain which required prompt surgery. And a couple of weeks after that I had the real stroke–the one with the facial drooping, general weakness on one side, and the additional symptom that I wasn’t aware of it at all. I insisted to my husband “I’m fine”, and I was only persuasive enough to delay a few minutes until he called 9-1-1.

    Now I know what happened last year. What I don’t know is why I’m so prone to strokes. Presumably, my cancer may be triggering it, so treating the cancer may help. Or maybe my follow-ups will uncover something else going on.

    If you’re the kind of person who likes to hear the silver lining: Well, it’s better that this happened now than after I start treatment.

    I had originally meant this blog to be kind of humorous, but you know the old saying “Tragedy plus time equals comedy.” I’m just taking notes, and one day I’ll be able to joke about all this. That’s my goal.

  • Friday Cry Day

    Wednesday I met with my oncologist. I thought we were going to discuss treatment options, but the extra testing on the liver biopsy sample was still in progress. This was just the appointment to let me know that my cancer is back. Surprise! I’d only known about it for 12 days already. I can’t imagine someone just sitting back and waiting that long to find out their biopsy result. Sheesh!

    But with my second opinion appointment coming up soon, I pressed for a first opinion anyway.

    I asked about resection or ablation of the liver tumors. “Tumors in the liver are usually spread through the hematogenous route. I would recommend systemic therapy.”

    “Can’t we get rid of these liver tumors and then do the systemic therapy?”

    “We’ve seen that new tumors often appear afterwards. Systemic therapy will target what we can’t see also.”

    There was a bit more back-and-forth in the conversation. In summary, she wants to target the source first. It is likely in my lymph nodes. (I think she is 100% sure about that, but she gives vague answers sometimes. Possibly a side effect of too many medical lawsuits in the world. I hate it.) Anyhow, if the tests don’t show any better targets, her recommendation would be Keytruda + Lenvima. The side effects I’ve heard about that combo scare the shit out of me. I need to do some more research.

    Now that it was official, though, I figured it was time to break the news to some of my friends at work.

    I got two responses of “Let me know if I can do anything” and one response of “Well, it’s good that you’re still smiling.”

    I gritted my teeth a bit at that last one, but I was still smiling. I’ve gotten in the habit of smiling most of the time at work even if I’m not happy. Does this make me insincere or inauthentic? Or is it a necessary pose for someone participating in a society?

    I did confess that my husband was taking it worse than me and I didn’t know how to help him feel better. Immediately:

    “You don’t have to worry about him. You just need to focus on yourself.”

    “Don’t take on that responsibility.”

    So at that point everyone was disapproving of my concerns. Apparently, I shouldn’t be thinking of my husband’s well-being. I shouldn’t worry that my primary caregiver may get overwhelmed and not be able to provide the support I needed. Again I gritted my teeth. I was mostly successful in holding back the tears. Sure. Still smiling.

    The next day I reviewed my oncologist’s notes in the patient portal: “Medical Decision Making: High risk, highly complex based on cancer diagnosis that is life-threatening without appropriate treatment and need for ongoing treatment monitoring with high risk of complications.”

    This is the first time I’ve heard the term “life-threatening” for my cancer. (Yes, I pretty much knew it, but that’s different than hearing my doctor say it.) Does this mean I have a prognosis now? I didn’t ask this time because I didn’t expect to get an answer. But if so, why wasn’t this mentioned during the appointment? I try to have questions ready to ask, but I keep missing out on important questions anyway. And if I don’t ask, no one will tell me.

    So yes, I’m frustrated. I’m scared. I’m confused. I’ve cried a couple of times briefly. I proposed to my husband that we set aside time to watch sad movies on a regular basis so that I can let more of these feelings out. (I’ve secretly coined the term Friday Cry Day for this event.) However, he was not at all interested. Instead I just shed a tear at random moments when I’m feeling particularly overwhelmed. As for the rest of the time, I’m still smiling. What else can I do?

  • The Waiting

    One of the stupidest parts in a cancer journey is that time during which you know that you have cancer but are not yet on any treatment plan. That’s where I am now.

    I’ve known for over a week now that my biopsy was positive. The same cancer I was diagnosed with in 2022 is now back in my liver. Maybe in my lymph nodes too but definitely my liver. Yet my appointment with my oncologist to hear her treatment plan won’t be until Wednesday.

    I’ve been through this before, though, so I haven’t just been waiting. I’ve been making more appointments. I already had my annual physical scheduled for October. I also had an eye exam and an echocardiogram not too long ago. But I still needed to schedule:

    • a hearing test (The previous time I did chemo it screwed up my hearing, but I didn’t have a baseline test and my hearing was still slightly above the line of what is considered clinical hearing loss, so technically I didn’t lose anything?),
    • a podiatrist visit (My foot has been uncomfortable and at times painful since I tried to take up running earlier this year. I thought it would heal on its own if I just stopped running. No such luck. I need to get this taken care of.),
    • a dental exam and cleaning (Needing to dental work while in treatment just complicates things),
    • and my first ever second opinion appointment.

    Even if it turns out I don’t need any of this, it makes me feel like I’m being productive.

    And to keep my mind off of things even more, we just bought a house! It should be a much more peaceful neighborhood for my recovery, but it needs a lot of fixes. I’ve already been busy scheduling a plumber, electrician, tree trimmers, HVAC experts, etc…. Well, I don’t have everything scheduled yet. It’s going to be rough because we can’t move in until the flooring is done, and I don’t want to have to move when I’m feeling lousy from the treatment already. So, yeah, I’ve been busy. I haven’t had as much time to go down rabbit holes as I have when faced with cancer in the past.

    On the flip side, though, there is so much going on that my husband is a bit frazzled. He’s my primary caregiver whenever I’m sick. Am I burning him out before I even start treatment? Whoever said “What’s good for the goose is good for the gander” was definitely not thinking of caregiving. Maybe a few small pleasant surprises could help. Hmmm. And it’s yet another thing for me to do to keep me away from that rabbit hole. Hurrah!

  • I keep hearing other survivors say “Cancer doesn’t define me.” But, quite frankly, cancer is the most interesting thing to happen to me.

    To me the worst thing about cancer is the unpredictability. I’m not a fan of surprises. One of my strongest childhood memories was sitting in the living room staring at a spider crawling on the ceiling. I didn’t like spiders, but I really didn’t like not knowing what the spider’s next move would be. If I stopped looking at it for even a moment, surely it would launch a surprise attack! I’m just lucky no one has ever tried to throw me a surprise party. That would not end well.

    So, I’ve been watching. Though my cancer is high-risk, it been in remission for the past two years. This has given me lots of extra time to live life. I’ve spent countless hours reading research papers and memoirs. I graph my bloodwork results to check for anything out of the normal. I’ve looked at my scans over and over again learning to make out different organs. I volunteer with my cancer support group to hear about what other folks are experiencing and to provide encouragement.

    Some may say that this isn’t living life. Those are the people who must enjoy the surprises that cancer brings. They’re crazy.

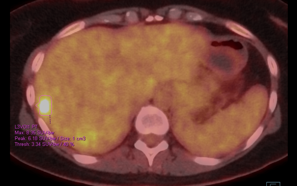
    I’m starting this blog because I may be at a point now where this study starts to pay off. My most recent scan showed spots of hyperactivity in my liver, and it’s almost surely my cancer that is finally ready to make itself known again.

    Screenshot of PET scan showing a 1cm bright spot on the liver

    My oncologist wouldn’t say that it’s probably cancer. I know she was thinking it, though. And I know she would have said it if it wasn’t for the fact that something similar happened in January with some lymph nodes. “What else could it be if it’s not cancer?” my husband had asked. My oncologist replied very straightforwardly, “It’s not likely to be anything else”. But then they did a biopsy and didn’t find any cancer. Just some proliferating lymphocytes. She doesn’t act embarassed by this, but she must be if she is not saying that it is most likely cancer now. An oncologist wouldn’t order a biopsy if they really thought it was likely to be anything else. I’m not fooled for one second.

    So… now I have a biopsy of my liver scheduled. At first I was excited to see how they would identify the spot where they would do the incision. I wondered if I would be able to see it on the screen like when I had the lymph node biopsy guided by ultrasound. But then they mentioned “sedation”. Ugh! Even if it’s a conscious sedation, I won’t get to remember any of it. I’ll lose all memory of this section of my life. Why??? If my life may be cut short, I definitely want to hold onto all the memories that I can.

    It’ll probably be cancer, though. That means they’ll run extra tests so I can see if it has evolved at all since when they analyzed a sample after my hysterectomy. I’ll learn new things, and I’ll have new things to learn. Sometimes I do worry about suffering the effects of potential treatments. Sometimes I worry about how the cancer itself could kill me. Most of the time, though, I’m anxious and excited to learn more about my cancer.

    I try to profile it as a criminal profiler would. I know that when it replicates it prefers to spread and travel instead of growing as a single tumor. I know that when I was on strong anti-platelet medicine, my tumor markers went down for a while, so it probably likes to use platelets to protect itself from immune cells. I know that it has mutations in the PIK3K pathway and in the ARID1A gene. Although many people have a PIK3CA mutation which encourages true out-of-control growth, my mutations are only in PTEN and PIK3R1, meaning there are no brakes on the growth but there would need to be something else going on in my body to drive the growth. My cancer was estrogen-receptor positive. So maybe that. But there is very little estrogen in my body since surgical menopause.

    Of course a lot of my tumor criminal profiling is conjecture. I’m not a medical professional, and I haven’t found a medical professional interested in speculation. I’ll take that as meaning that it’s up to me to do all of the speculation. On it!

    Alas, it’s not my day job. Sometimes I fantasize about becoming a cancer researcher. Then I realize that I likely wouldn’t get to choose my research. I’d be rushed instead of spending as much time as I wanted exploring a topic. It might kill all my love for cancer research! No, I guess I won’t take up a new profession. But if there are any cancer researchers reading this, I’d like to say thank you for fighting the good fight. ❤️